
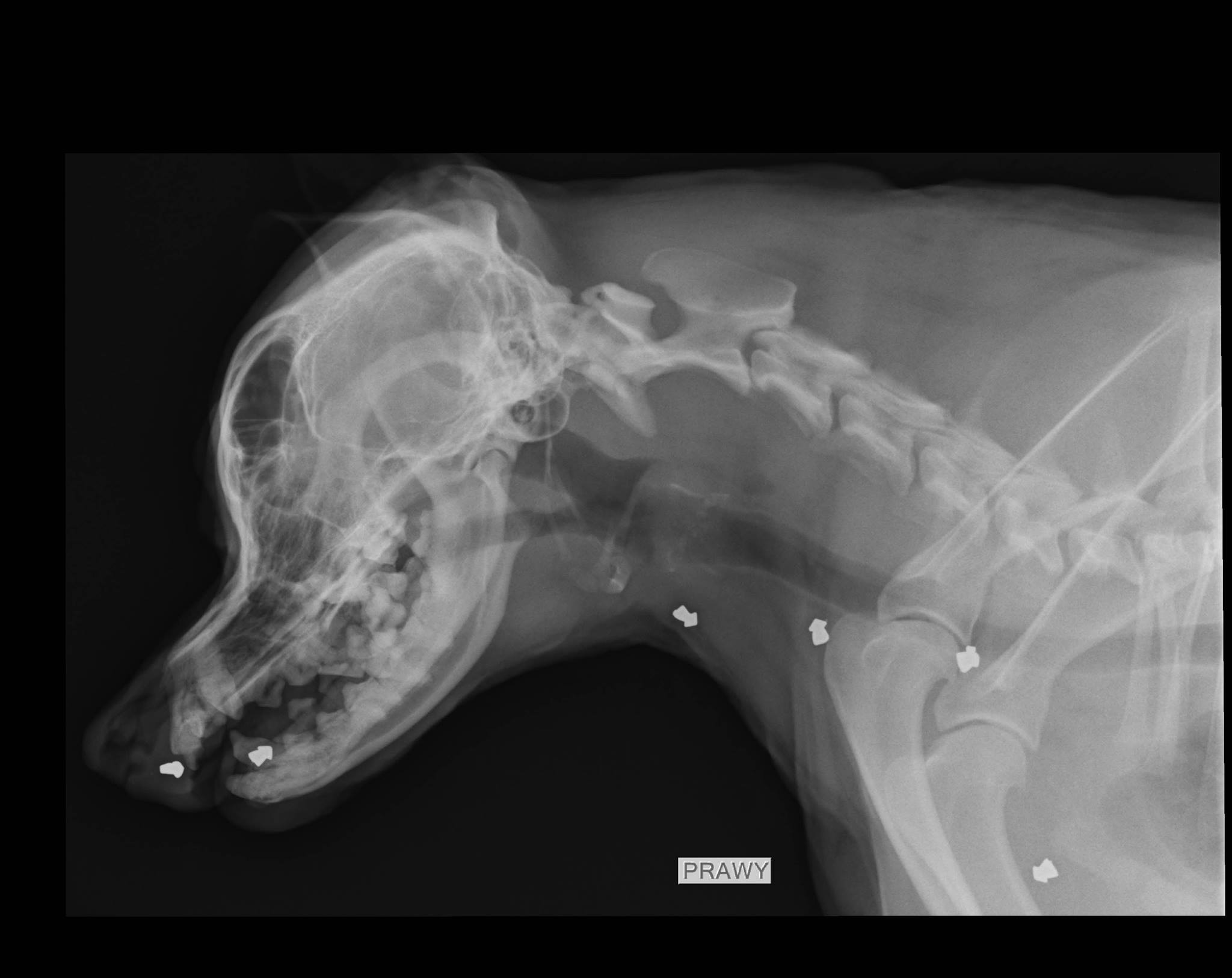
Godzina 16:30, do Centrum Weterynaryjnego wchodzi dwóch strażników miejskich z kontenerkiem do transportu zwierząt. Kolejny powypadkowy, bezpański nieszczęśnik potrzebuje pomocy. Strażnicy stawiają kontenerek na stole do badania. W środku przerażone i zdezorientowane zwierze, kocur w wieku około 5 lat. Ma tylko pół lewego ucha, 1/3 ogona i złamany kieł żuchwy. Jako bezpański, dziki kot nie raz musiał dostać łomot. Kocisko przeraźliwie zawodzi. Pomimo tego, że moi pacjenci raczej ze mną nie gadają, ciężko jest nie zrozumieć kociego błagania o pomoc. Podczas badania okazuje się, że cała okolica krocza jest wylizana do „żywego mięsa”. Pęcherz moczowy jest wielki i bardzo twardy, w dotyku zupełnie nie przypomina zdrowego kociego pęcherza. Następne pół godziny i mamy wynik badania USG i zdjęcia rentgenowskie. Diagnoza? Atonia i potworne zapalenie pęcherza moczowego będące skutkiem… postrzału z wiatrówki. W pęcherzu moczowym tkwi ołowiana śrucina. Tkwi tam już całkiem długo, powodując permanentne drażnienie śluzówki, zapalenie, ból i w konsekwencji duże trudności z oddaniem moczu. Zwierze w akcie desperacji wylizało sobie wielką ranę pod ogonem. Inny dzień, ta sama lecznica. Właśnie zabieram się za badanie psa przywiezionego ze schroniska dla zwierząt w Napierkach. Powód badania – kulawizna przedniej prawej łapy. Patrzę na monitor i czekam aż pojawi się zdjęcie rentgenowskie, które przed chwilą wykonałem mojemu pacjentowi. Rentgenogram pojawia się na ekranie a ja siadam, zupełnie zbity z tropu. Nie tego się spodziewałem. Pies ma w sobie kilkanaście ołowianych śrucin typu diablo. W głowie, szyi, klatce piersiowej i w tylnej części ciała. To nie był przypadkowy, pojedynczy strzał do przebiegającego psa. Ktoś to zwierze najpierw unieruchomił, a później strzelał jak do tarczy. Ran wlotowych nie widać, sprawa jest stara.
Takich przypadków w ciągu ostatnich trzech lat mojej pracy było wiele. Niewątpliwie, wśród niechlubnego rankingu najbardziej popularnych metod znęcania się nad zwierzętami, strzelanie do nich z broni pneumatycznej wiedzie prym. Zazwyczaj obecność śrucin w ciele odkrywamy przypadkiem, wykonując zdjęcia rentgenowskie z zupełnie innego wskazania. Zazwyczaj też energia kinetyczna pocisku jest na tyle niewielka, że przebija on skórę i zatrzymuje się na tkance podskórnej albo mięśniach. Jeżeli strzał oddany jest z bliskiej odległości, lub bronią o dużej mocy, śrucina penetrować może klatkę piersiową albo jamę brzuszną, naruszając ważne narządy.
Najczęściej ofiarami domorosłych snajperów padają koty. Bo sikają, bo polują na gołębie, bo miauczą. Nic prostszego niż wziąć wiatrówkę, palnąć w sierściucha i z zadowoleniem patrzeć jak wystrzeliwuje przerażony w górę na wysokość pierwszego piętra. To co zdumiewa najbardziej, to brak wyobraźni tych ludzi. Nawet jeżeli wskutek postrzału nie dojdzie do krwotoku, czy odmy opłucnowej i kot nie padnie w ciągu kilku godzin, to przecież ten śrut nie zniknie z kociego ciała w sposób magiczny. Wszystko zależy od tego gdzie spoczywa ołowiany pocisk, pół biedy jeżeli zatrzyma się w mięśniach albo tkance podskórnej, ale jeżeli utknie w wątrobie, albo uszkodzi jelita, zwierze może konać w męczarniach.
Jako lekarz, potwierdzam, na głupotę lekarstwa nie ma, aczkolwiek prace ciągle trwają. Głupi czy nie, taki snajper jest ścigany prawem. W Polsce za znęcanie się nad zwierzętami grożą nawet dwa lata więzienia, a sądy coraz chętniej wymierzają surowe kary. Ale przecież nie chodzi o kary. Chodzi o to żeby na znęcanie się nad zwierzętami nie było społecznego pozwolenia. Żeby widząc dzikiego kota, nikomu nie przychodziło do głowy żeby dla zabawy grzmotnąć do niego z wiatrówki.
Karol Chmieliński










Dodaj komentarz